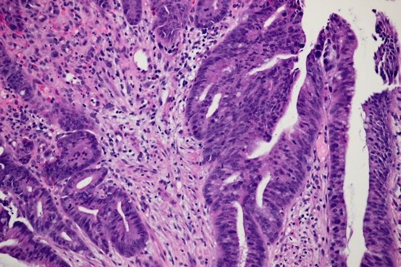
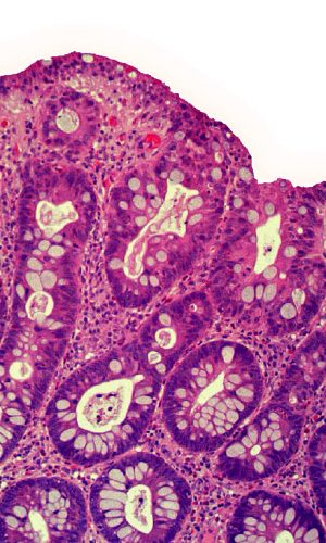
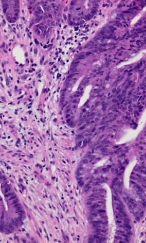
Dr. Shihabi received his anatomic and clinical pathology training at UCSF, completing his surgical pathology fellowship at UCSF with an intense focus on gastrointestinal pathology. Dr. Shihabi is board-certified in Clinical and Anatomic Pathology. At CoCoPath, we offer a breadth of expertise and experience in the diagnosis of various gastrointestinal disorders, including: