CoCoPath

Dermatopathology

DR. DAVID ZLOTNICK

DR. ABHA SONI

Dr. Zlotnick is board-certified in dermatopathology and received his dermatopathology fellowship training at UW Medical Center in Washington. Dr. Abha Soni is board-certified in Anatomic, Clinical and Dermatopathology, receiving her fellowship training at Johns Hopkins Medical Center in Baltimore, Maryland. Both Dr. Soni and Dr. Zlotnick offer specialized expertise in the diagnosis of a spectrum of skin disorders, including:

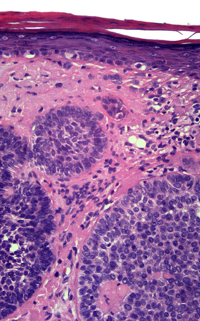
  • Benign and malignant neoplasms
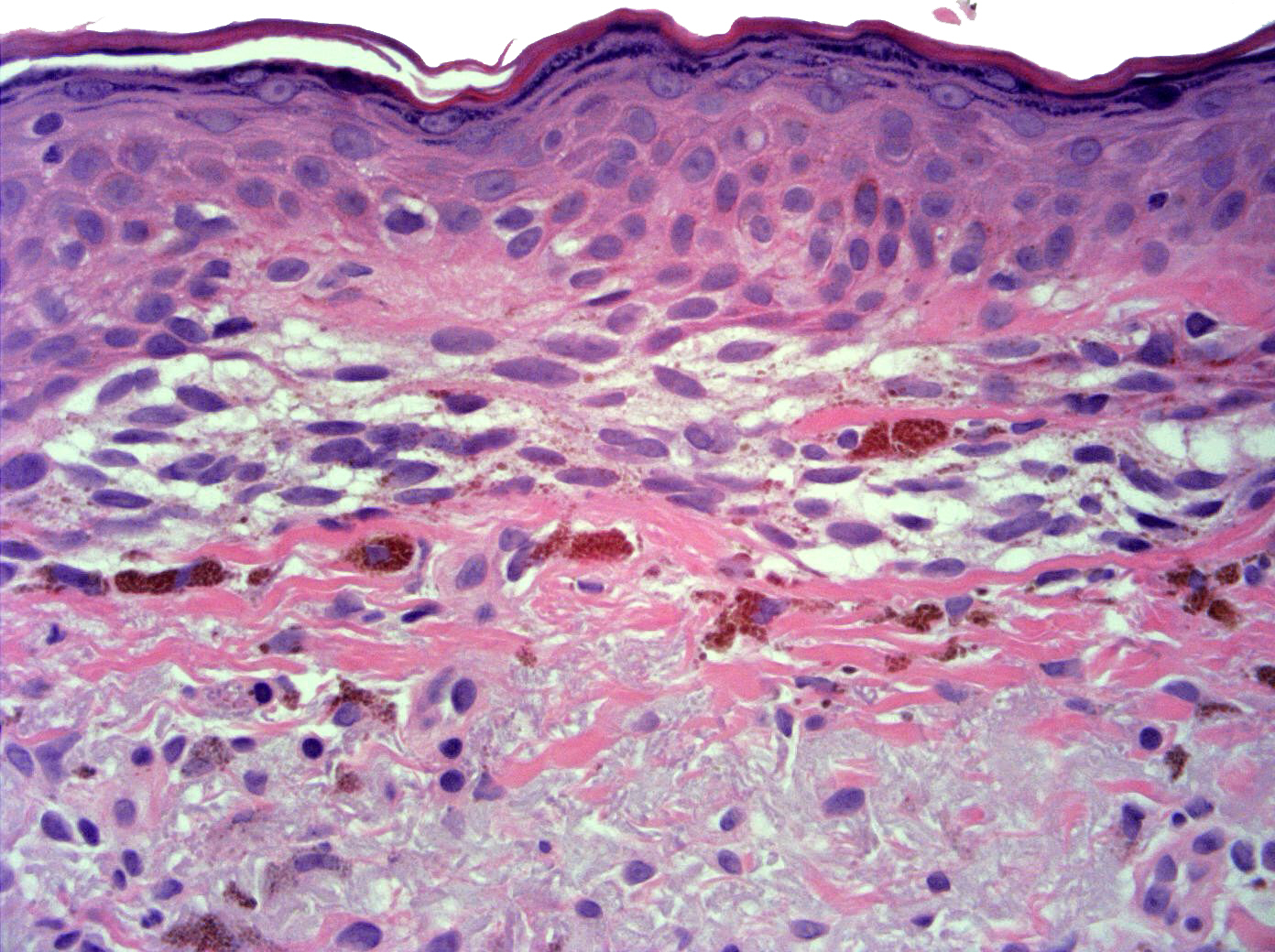
  • Melanocytic lesions
  • Lymphoproliferative disorders
  • Dermatitides
  • Alopecias
  • Vulvar disorders

What to expect:

  • Timely and accurate diagnoses
  • Informative, clear and timely reporting
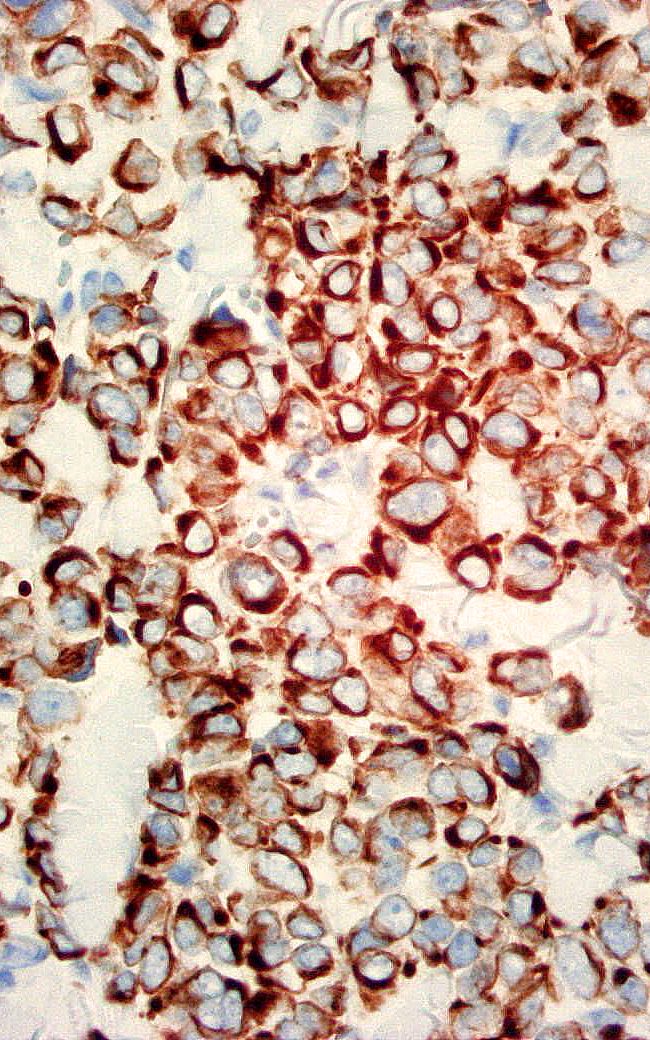
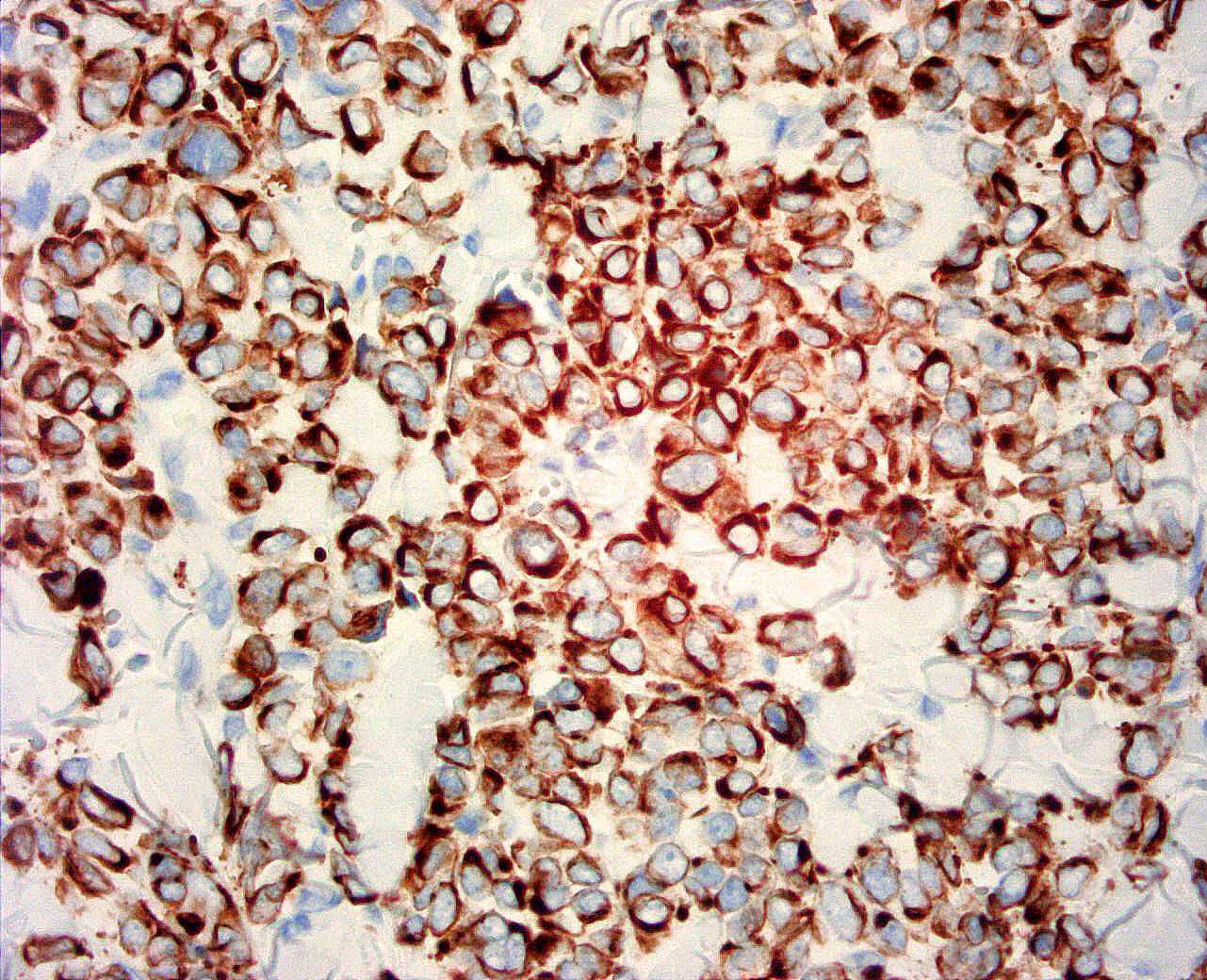
  • Photomicrographs on cases available
  • Routine additional review of unusual cases, with academic consultation as needed
  • Immunohistochemical and special stains on-site, further enhancing timely turnaround of more complex cases
  • Clinicopathologic correlation with clinicians